Grosser Fremdkörper in der Vagina: Frau musste in den Notfall

am 12.2023 - 20 Minuten

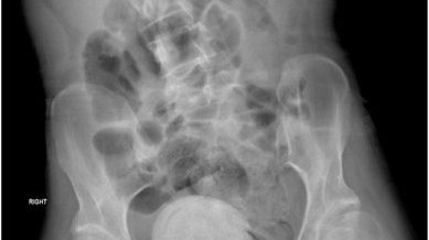
Fieber, Schüttelfrost, Erbrechen – das war nur ein Teil der Symptome, der eine 27-Jährige den Notfall aufsuchen liess. Ihr aufgeblähter Bauch liess die Ärzte schliesslich aufhorchen. Schuld war ein Fremdkörper...weiterlesen »

Frau (27) hat Fieber und Schmerzen - Ärzte finden DAS in ihrer Vagina

am 12.2023 - RTL

Oh mein Gott! Einer 27-Jährigen aus dem Libanon wurde ein Vaginalstein entfernt, der die Größe einer Orange (!) hatte. Die unglaubliche Geschichte – und was genau es damit auf sich hat. RTL.de ist jetzt...weiterlesen »

So groß wie eine Orange - Mediziner finden XXL-Fremdkörper in Vagina

am 12.2023 - Bild* per perdorim

Beirut – Die Ärzte konnten kaum glauben, was sie sahen! Eine Frau aus dem Libanon schleppte sich mit Fieber, Schüttelfrost und Erbrechen in ein Krankenhaus im Libanon. Um alle Ursachen abzuklären, machten...weiterlesen »

KLICKEN